
Hjertesprekk-viruset og ILA-viruset påfører norsk oppdrettsnæring enorme tap hvert år. Likevel vet vi lite om hvordan virusene sprer seg. Ny forskning kartlegger fiskevirusenes utvikling i tid og rom, og avdekker de viktigste smitteveiene.
Foto: Alf Dalum
Hjertesprekk (Kardiomyopatisyndrom, CMS) og infeksiøs lakseanemi (ILA) er blant de mest kostbare og alvorlige sykdommene for oppdrettsfisk i Norge. Likevel vet vi lite om hvordan virusene som forårsaker sykdommene sprer seg. Det er heldigvis i ferd med å endre seg.
Pharmaq er med i et forskningsprosjekt ved The Royal Veterinary College (RVC) i London som for første gang har kartlagt virusenes komplette arvelige materiale i stor skala. Flere hundre genomer helgenomsekvenseres for å fange opp alle variasjoner og mutasjoner av virusene.
Dataene gir forskerne et detaljert bilde av både hvor og når virusene sprer seg. Resultatene angir de viktigste faktorene for virusspredning.
– Vi rekonstruerer den mulige smittekjeden geografisk og i tid. Det gir unike muligheter til å lære om virusutbrudd og hvordan vi kan forhindre spredning i fremtiden, forteller Mingli Zhao, postdoktor ved RVC og en av forskerne bak studien.

Prosjektgruppen fra venstre: Bertie Knight, Ane Sandtrø, Sarah Hill, Mingli Zhao, Marius Andre De Fejter Karlsen, Mari Solheim og Svein Alexandersen.
Geografisk nærhet er den aller viktigste faktoren for spredning av både hjertesprekk-viruset PMCV og ILA-viruset (se faktaboks for mer informasjon om virusene), viser forskningen. Jo tettere sjøanleggene ligger, jo mer sprer viruset seg. Det gjelder til en viss grad også for landbaserte anlegg.
– Viruset kan smitte gjennom delt personell, utstyr og båter. Det kan også spres med havstrømmene, sier Marius Karlsen, forsker og prosjektansvarlig i Pharmaq.
– Ved planlegging av nye sjøanlegg kan det være lurt å tenke over anleggstetthet og plassering for å minimere risikoen for smittespredning, råder postdoktor Zhao.
Analysen viser også at brønnbåter kan spre virusene over lengre distanser.
Forskerne modellerte alle båtbevegelser langs kysten med sporingsdata fra BarentsWatch. Da så de at anleggene som hadde blitt smittet av samme type virus, ofte hadde hatt besøk av samme brønnbåt.
– Resultatene tyder på at brønnbåter bidrar til at viruset når nye områder, sier Karlsen i Pharmaq.
Minst syv ganger mellom 2004 og 2022 spredte PMCV-viruset seg fra Norge til Skottland, viser forskningen.
Forskerne har ikke et sikkert svar på hvordan viruset har spredt seg over landegrensene. Karlsen påpeker imidlertid at brønnbåter har gått mellom anlegg i Norge og Skottland. Båtene er store og kompliserte å rengjøre skikkelig. Derfor er det veldig viktig å tenke biosikkerhet ved transport, sier Pharmaq-forskeren.
– Det kan sammenliknes med om taket ditt er lekk. Det hjelper ikke å tørke opp i stua di, for vannet kommer ovenfra likevel. Man må tette taket, eller i dette tilfellet stoppe spredningen via brønnbåter, forklarer Karlsen.
Zhao sier at det kan være lurt å teste fisken for sykdom før den transporteres.
– Det er også svært viktig å fjerne all død fisk fra båtene og desinfisere grundig, supplerer Zhao.

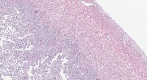
Bildet: Histologibilde som viser betennelsesforandringer i hjertet hos fisk med hjertesprekk
Flere har spekulert i om PMCV-viruset kan smitte via egg – altså vertikalt fra mor til barn. Funnene tyder på at egg ikke er en primær smittevei, men at det trolig kan forekomme:
– Vi fant ett tilfelle med nesten identiske virus på anlegg som ligger langt fra hverandre. Anleggene hadde fått egg fra samme parti. Viruset kan oppholde seg på utsiden av egget, så desinfeksjon av rogn er viktig. De fleste bevegelser av virus mellom fiskepopulasjoner skjer imidlertid ikke via egg, forteller Zhao.
Forskningsprosjektet motbeviser tradisjonelle antakelser om virus, forteller Karlsen.
– Før tenkte man kanskje litt svart-hvitt om hvordan virus spres: At ett virus spres sånn, mens et annet spres sånn. Men virus sprer seg ikke på bare én måte, sier Karlsen.
– Vi kan sammenlikne med koronapandemien: Mesteparten av smitten skjedde mellom mennesker som oppholdt seg tett. Men likevel var flytransport ekstremt viktig for å spre viruset over hele verden. Slik er det også med fiskevirus, utdyper han.
Forskerne fremhever flere komplekse egenskaper ved virusene:
Denne kompleksiteten hadde ikke vært mulig å oppdage uten å helgenomsekvensere viruset.
– Ved PCR-analyser undersøker man bare om viruset er der eller ikke. Ved helgenomsekvensering kartlegger vi hele virusets arv. Da ser vi at virkeligheten er kompleks. Et virus man trodde stammet fra samme sted, kan vise seg å komme fra to ulike steder, forteller Karlsen i Pharmaq.
Helgenomsekvensering ble et kjent begrep for mange under koronapandemien: Helsemyndigheter helgenomsekvenserte koronaviruset for å spore hvordan ulike versjoner spredte seg.
– Tidligere har det kun vært mulig å se hvordan viruset overordnet utvikler seg gjennom tiår. Når vi har hele genom, kan vi se nøyaktig hvordan viruset har spredt seg geografisk de siste par årene. Det er viktig, ettersom fisken bare lever i to-tre år, forteller Karlsen i Pharmaq.
Zhao tror helgenomsekvensering blir standarden for å analysere fiskevirus i fremtiden.
– Du får en detaljert, helhetlig historie om viruset og hvordan det kom til ditt anlegg, sier hun.
Piscint myokardittvirus (PMCV):
Infeksiøs lakseanemi (ILA):
PHARMAQ er verdens ledende selskap innen vaksiner og innovasjon rettet mot akvakulturnæringen og er en del av Zoetis, verdens ledende selskap innen dyrehelse. Våre innovative fiskehelseløsninger inkluderer et bredt spekter som fiskevaksiner, terapiprodukter, vaksinasjonsmaskiner inkludert servicetjenester, forskning og analyser. Selskapet leverer miljøvennlige, trygge og effektive helseprodukter til den globale akvakulturnæringen ved hjelp av målrettet forskning og engasjerte medarbeidere. Produksjon, administrasjon, forskning og utvikling ligger i Norge og med global virksomhet i kommersielle oppdrettsmarkeder har PHARMAQ rundt 375 medarbeidere. Konsernets produkter markedsføres i Europa, Nord- og Sør-Amerika samt i Asia. For mer informasjon, se selskapets hjemmeside: www.pharmaq.com. Personvernerklæring Erklæring om informasjonskapsler (cookies) Bruksvilkår
Copyright © 2020 Zoetis LLC. Alle rettigheter forbeholdt.